 
		Jetzt haben wir es amtlich:
die Deutschen sind zu dick, haben wenig Ahnung von richtiger Ernährung und in der Hauptschule sind die Kinder dicker als die im Gymnasium.mehr »
 
		Menschen, die einem erhöhten Nachtfluglärm ausgesetzt sind, haben erhöhte Blutdruckwerte im Vergleich zu denjenigen, die in ruhigen Wohngebieten wohnen. Diesen Beweis dafür, dass Lärm nicht nur an den Nerven zerrt, sondern sogar krank macht, führt eine internationale Studie, die von der Europäischen Kommision gefördert wurde.mehr »
 
		Ein Joint kann so karzinogen sein wie 20 Zigaretten, so das Ergebnis einer Studie aus Neuseeland. Die krebserregende Wirkung von Cannabis wurde bereits in vivo und in vitro in Tiermodellen belegt.mehr »
 
		Die Verbindung von Schnarchen und Schlafapnoe ist weit verbreitet bei Erwachsenen über 40 Jahren und daher nahm man bisher an, dass dies bei Kindern recht selten vorkommt. Nun hat eine Studie bei fast 7.000 Kindern aus Großbritannien gezeigt, dass dies so nicht zutrifft.mehr »
 
		Bis zu 12 Jahre länger leben deutsche Männer aus dem obersten Einkommensviertel im Vergleich zu jenen im untersten Einkommensviertel (bei Frauen sind die Unterschiede etwas weniger drastisch). Ebenfalls eklatant sind die bekannten Morbiditäts-Unterschiede zwischen reichen und armen Menschen.mehr »
 
		So nach und nach scheinen sich vermeintlich gesicherte Erkenntnisse über den gesundheitlichen Nutzen von Nahrungsmittel aufzulösen. So predigen seit Jahren Ernährungswissenschaftler die Vorteile mediterraner Kost zur Verhinderung der Atherosklerose. mehr »
 
		Viele Menschen im höheren Lebensalter nehmen es als unvermeidliche Altersbeschwerden hin, wenn sie wegen vermehrtem nächtlichen Harndrang mehrmals in der Nacht das Bett verlassen müssen, um zur Toilette zu gehen. Dieses Phänomen nennt der Arzt Nykturie, und es ist einerseits von den altersbedingten Veränderungen der Blasenmuskulatur und des Schließmuskels, andererseits aber auch von der abendlichen Trinkmenge abhängig.mehr »
 
		Heute leben bereits 1,9 Millionen Kinder in Deutschland, die zu dick sind. Vom deutlichen Übergewicht bis zur krankhaften Adipositas ist es oft nur noch ein kleiner Schritt – und das einmal angelegte Fettgewebe wird man nur sehr schwer wieder los. Im Grundschulalter ist jedes sechste Kind übergewichtig und ab dem 14ten Lebensjahr hat sich jedes Zwölfte Kind in diese Kategorie hinein gefuttert. mehr »
 
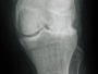
		Jedes Gelenk ist eine funktionelle Einheit und besteht zusätzlich zur knöchernen Verbindung aus dem Gelenkknorpel, der Synovialmembran und der Gelenkflüssigkeit. Damit eine gleichmäßige Belastung auf das Gelenk trifft, verteilen Muskulatur und Gelenkkapsel die auftretenden Kräfte und unterstützen die Ernährung des Gelenkknorpels. Der Knorpel fängt die Kräfte auf und wirkt wie ein Stoßdämpfer und durch die glatte Oberfläche und die Synovialflüssigkeit wird ein reibungsloses Gleiten der Gelenkflächen aufeinander sichergestellt. mehr »